55~65歲是主動脈剝離高危險群,一天內有致死可能!楊智鈞醫師:保命4件事,重訓、便秘者要多留意

(圖片來源:Shutterstock)
(圖片來源:Shutterstock)
2023.02.10
89,731
作者|50+選讀
責任編輯|陳莞欣,吳丹華

(圖片來源:Shutterstock)

作者|50+選讀 2023.02.10

責任編輯|陳莞欣,吳丹華89,731

文章用聽的
00:00 12:52 1

編按:主動脈剝離是什麼?誰是高危險群?心臟外科主任楊智鈞完整說明主動脈剝離的症狀、治療與預防方法。畢竟主動脈剝離很難早期發現、早期治療,為了保護自己,平時應留意4件事。有在重訓的朋友,更要留意自保技巧。

主動脈剝離的高危險群?

主動脈剝離主要好發於55~65歲之間,這時候因為動脈硬化,內壁變得比較脆,如果有持續性高血壓,就容易發生主動脈剝離。年輕人的血管彈性一般來說比較好,主動脈剝離比較少見,像藝人小鬼年僅36歲卻在家因為主動脈剝離突然過世,就屬於少見的現象。

年輕人發生主動脈剝離,多數伴有先天性的遺傳因素,導致主動脈的構造先天比較脆弱。常見的先天性因素包括馬凡氏症候群(Marfan syndrome)、多囊性腎病變等。

什麼是主動脈剝離?

(圖片來源:《俠醫楊智鈞的50道心臟密碼》)(圖片來源:《俠醫楊智鈞的50道心臟密碼》)

上圖為主動脈剝離示意圖,話說我們主動脈的血管壁,其實不只有一層,而是像三夾板一樣有三層。同時,主動脈剝離的發生,就是源自於內層出現裂縫,接著,整條大動脈就從這個裂縫開始,有如虎皮蛋糕捲一樣被撕裂開來。

於是,原本一個完整的管腔被撕開成2個,甚至3個管腔。所以,中國大陸又把主動脈剝離翻譯成「夾層」。

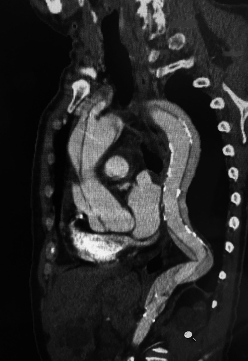
主要診斷要靠電腦斷層切片,如下圖就是一個主動脈內層多處破裂的案例。

(圖片來源:《俠醫楊智鈞的50道心臟密碼》)(圖片來源:《俠醫楊智鈞的50道心臟密碼》)

主動脈剝離發生時有何症狀?

主動脈剝離發生的時候往往伴隨劇烈的胸部、背部疼痛,有的人會形容「像是刀割的撕裂痛」,有時候剝離範圍裂到腹部的血管,會引發腸胃道急性缺血,因此也會有腹部絞痛的症狀。

急性主動脈剝離相當致命。過去統計,從發生的那一刻開始,如果沒有適當治療,每小時的累計死亡率是2%,相當於有一半的人會在一天內死亡

筆者有一次印象非常深刻的經驗,是在一個沒有值班的晚上,晚上去參加一個朋友烤肉聚會,屁股剛坐下來,急診室就急call有一個主動脈剝離的患者,趕回醫院急診室迅速察看之後,一邊安排緊急手術,結果手術同意書寫到一半,那位病患突然沒了血壓,搶救也搶救不回來,還沒來得及開刀就遺憾過世了,顯見這病症的驚人威力。

主動脈剝離很致命的4大原因

至於主動脈剝離為什麼那麼致命,主要有4點原因

• 主動脈破裂直接引起大出血休克

• 主動脈破裂造成心包填塞(cardiactamponade):大量血液滲出造成心臟跳不動、被壓住,全身沒血液,3分鐘細胞就死光了。

• 主動脈撕裂心臟瓣膜或冠狀動脈,引起急性心臟衰竭

• 主動脈撕裂到頸部動脈,會造成馬上昏倒中風,沒有血液供應腦部,腦幹休克後死亡。

以上4種原因都會造成患者立即死亡,或者變成植物人,所以必須儘快開急診搶救手術。

主動脈剝離常見的治療方式為何?

至於怎麼治療,主要是以剝離的部位來區分。

按照破裂口與撕裂範圍,主動脈剝離可以分為A型跟B型(或分別稱為甲型與乙型),如下圖,另有一種分類較複雜,這裡不贅述。

(圖片來源:《俠醫楊智鈞的50道心臟密碼》)(圖片來源:《俠醫楊智鈞的50道心臟密碼》)

如果主動脈剝離撕裂的部分波及到升主動脈(編號0),就是A型,沒有的話就是B型。分為A、B這兩型最主要的目的就是決定「手術治療方式」。

A型主動脈剝離

如果是A型主動脈剝離,那就要按照標準治療進行「開胸手術」,以人工血管替換受傷的主動脈。嚴重的話,甚至主動脈弓或者心臟的瓣膜血管也要一起手術修復,手術示意圖如下。

升主動脈置換人工血管手術示意圖(作者繪製)。(圖片來源:《俠醫楊智鈞的50道心臟密碼》)升主動脈置換人工血管手術示意圖(作者繪製)。(圖片來源:《俠醫楊智鈞的50道心臟密碼》)

B型主動脈剝離

如果是B型的話,有機會不用開大刀,而以微創支架的方式來治療,相關手術情形如下示意圖。

此為微創手術修復B型主動脈剝離過程示意圖。(圖片來源:《俠醫楊智鈞的50道心臟密碼》)此為微創手術修復B型主動脈剝離過程示意圖。(圖片來源:《俠醫楊智鈞的50道心臟密碼》)

嚴重的主動脈剝離若不及時手術,2週內的死亡率高達75%。A型主動脈剝離須採傳統開胸手術,置換血管修復;B型主動脈剝離如果合併破裂、嚴重疼痛、高血壓難以控制、器官缺血等併發症,則可利用「微創主動脈支架手術」,手術成功率超過90%,也大幅降低傳統手術的風險。

無法早期發現  3種高危險群應持續追蹤

藝人小鬼因突發主動脈剝離過世後,門診出現不少年輕患者說:「醫師,我最近背痛痛的,可不可以幫我檢查一下有沒有主動脈剝離?」很遺憾的是,主動脈剝離跟癌症不一樣,沒辦法「早期發現、早期治療」。動脈的撕開,都是瞬間而突然的。不過,的確有3種人是主動脈剝離的高危險群:

• 馬凡氏症(Marfan syndrome)患者

• 多囊腎患者

• 主動脈不明原因擴大者(> 4cm)

以上患者會建議常規作電腦斷層追蹤檢查,如果主動脈擴大到一定程度,可以考慮做預防性的手術。但即便如此,多數的主動脈剝離,發病前主動脈大小都是正常的,也沒有前兆,因此很難提早發現。

預防主動脈剝離發生或復發  留心4件事

但是,下面有4個方法,是目前可以提供如何預防主動脈剝離發生或復發的方法:

1. 維持血壓平穩

你會不會好奇,好好的動脈內膜,怎麼就突然會撕開一道裂口呢?要知道我們俗稱的「動脈硬化」,它不是整條動脈都很均勻的硬,而是有些斑塊鈣化比較硬,有些則比較軟,是不均勻的。這些硬化斑塊的邊邊,就好像鋒利的刀子一樣。當血壓忽高忽低,血流就變成像海浪一樣拍打動脈壁,這時候就很容易造成斑塊邊緣割裂動脈內膜,引發動脈剝離。

所以,很多患者吃了血壓藥,等血壓降下來就不吃了,其實反而更危險!如此一來,忽高忽低的血壓就會變成拍打動脈的海浪,讓血管受傷,形成動脈剝離的隱憂。因此,持續讓血壓保持「穩定」,正是預防動脈剝離最重要的事情。

2. 避免「閉氣用力」

舉凡健身、搬提重物、用力上廁所的時候,深吸一口氣然後憋氣用力的動作,英文叫做「Valsalvamaneuver」。這種動作會瞬間增高胸腔壓力,可能會引起大動脈受傷。有過主動脈動脈剝離的患者或高危險群,都應該避免做這類動作。

3. 已罹患者要定期檢查

80%以上的主動脈剝離患者就算經過手術撿回一命,仍舊有「遺存的動脈剝離」。可以說一旦發生,這個病很大機率就跟著一輩子了,也就有可能再度復發。因此,每半年到一年常規作電腦斷層檢查追蹤是必須的。

4. 注意行車安全

另一種在年輕人常見的主動脈剝離原因是「車禍」。

曾經有一個20歲的大學妹妹,暑假期間跟朋友騎車到苗栗玩。苗栗是個山坡地多的地方,就在一個下坡處出了車禍,騎車的男生臉撞碎了,妹妹飛了出去,雖然沒有傷到花容、但是主動脈卻裂傷了。

因為,我們的主動脈在大約胸腔上緣的「弓部」位置,有一條類似拉繩的構造,另一端黏在肺動脈上,車禍發生大力甩動的時候,很容易造成此處撕裂,引發主動脈剝離甚至斷裂。所幸我們及時以微創支架手術修補破損處,才化險為夷。

當心大動脈受傷  重訓、搬重物、如廁解便記得吐氣

筆者除了是心臟外科專科醫師之外,也曾參與美國運動醫學學會大中華區培訓講師,同時長年也有重訓健身習慣。台灣近年吹起健身風,不少民眾喜歡到健身房運動及鍛鍊身體,曾在健身房看到民眾「練太用力暈倒」的情形,健身界稱為「努責」,醫學上來說就是「持續閉氣用力」的意思。

閉氣用力血壓的變化總共有幾個階段:

第一階段瞬間胸腔壓力提高,會造成血壓突然升高。第二階段持續閉氣用力,則會因為胸腔持續高壓,讓血液無法回填心臟,造成血壓降低,頭部的血液也因為無法回流到心臟,會有腦充血的情形。

所以,我們在健身房看有些人推大重量,要推推不上去的時候往往臉紅脖子粗,甚至突然暈倒,就是這樣造成的。

生活中「持續閉氣用力」常見的例子就是搬很重的東西。一般人吸飽氣、出力的瞬間會習慣閉氣。同樣地,在做重量訓練時也會閉氣出力,此時會導致胸腔內部壓力瞬間增高,輕者會頭暈目眩,嚴重時可能暫時影響血液回流而短暫休克,有時甚至造成大動脈受傷。除了搬重物、重量訓練外,如廁解便時也會閉氣用力,有些人上廁所到一半突然休克在廁所裡,就是這種情形。

運動時,務必注意以下3點

(1) 重量訓練時,要選取適當的重量,出力的時候記得全程吐氣,避免憋氣

(2) 深夜時血壓容易變動,建議運動時段以早上8點到11點及下午2點到5點為主,這是比較適合一般人的運動時間。

(3) 提重物、解便太用力也容易憋氣用力,提重物要量力而為,預防解便過於用力,同時記得多吃蔬菜、水果,避免便秘。

八字口訣:「重訓出力,全程吐氣。」八字口訣:「重訓出力,全程吐氣。」

(本文摘自楊智鈞著,《俠醫楊智鈞的50道心臟密碼》,原水出版)

加入50+ LINE,每天獲新知!
https://fiftyplus.pse.im/5zvc58

用行動支持50+

媒體是推動社會朝向更好改變的關鍵。《50+》目前皆為免費閱讀,然而網站運作需要不同專業人員的投入。如您喜歡這篇文章,誠摯邀請您小額贊助,支持內容製作。希望我們在您的支持下,能持續對台灣熟齡生活有正向啟發、給予人盼望!

Go To Top